뇌혈관센터    >    센터소개    |    장비소개    |    뇌출혈    |    외상성뇌출혈    |    뇌경색    |    뇌동맥류    |    파킨슨병    |    어지럼증    |    치매    |    뇌혈관재활   
뇌출혈

뇌출혈이란?
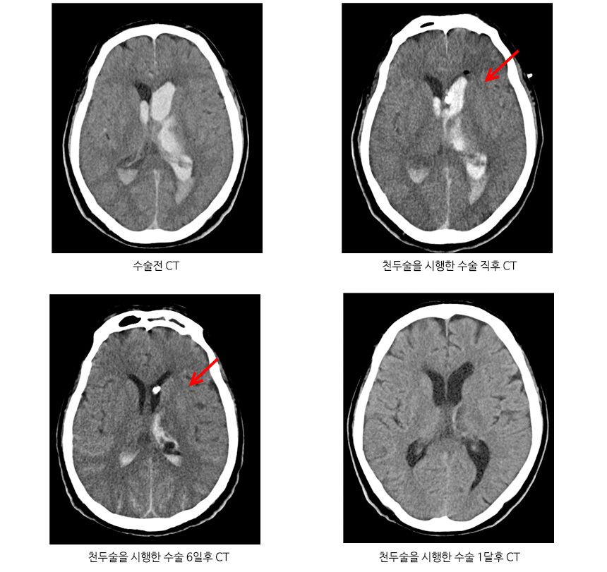
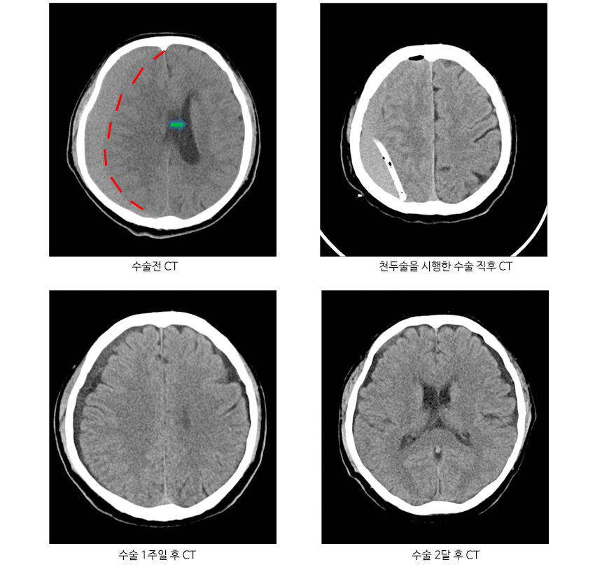
뇌조직 안의 혈관이 터져서 직접적인 뇌손상이 생긴 것으로, 크게 자발성으로 생긴 경우와 외상에 의해 생긴경우로 분류되며 출혈량, 위치, 증상 등에 따라 뇌출혈을 제거하는 개두술, 천두술, 수술적치료, 보존적치료로 출혈을 치료합니다.


원인과 증상
● 뇌출혈의 가장 흔한 원인은 고혈압이며 장기간 고혈압에 노출이 되면 혈관에 변화가 생겨 당뇨 및 고지혈증 있는 환자들에게는 쉽게 발생할 수 있습니다.
● 증상은 뇌출혈이 발생한 부위에 따라 다양하게 나타나며 경미한 경우 두통만 있을수 있지만 대부분 팔다리에 마비가 나타나며 언어장애, 의식장애가 올수도 있으며 심한 경우 사망에 이를 수도 있습니다.


진단 및 치료
● 진단
뇌출혈을 진단하기 위해서는 CT 및 MRI 등으로 두개강내의 출혈 여부를 확인할 수 있으며, 뇌지주막하 출혈이 생긴 경우 뇌혈관조영검사를 통하여 진단합니다.

● 치료
치료는 고혈압성 뇌출혈인 경우에는 혈종의 크기와 환자의 상태에 따라 치료법이 달라지며 혈종 크기가 작은 경우 약물치료를 시행하고, 혈종 크고 마비가 있는 경우 두개골에 구멍을 내서 관을 삽입하여 혈종을 배액시키는 수술법이 있습니다.





자발성 뇌내출혈 CT



만성 경막하출혈 CT