척추센터    >    척추센터 소개    |    장비소개    |    추간판 탈출증    |    척추관 협착증    |    척추분리증    |    척추골절    |    척추염   |    척추재활
척추관 협착증

척추관협착증이란?
신경이 지나가는 통로인 척추관을 둘러싸는 인대와 근육이 탄력을 잃어 통로가 점점 좁아지면서 신경을 압박하여 허리의 통증을 유발하거나 다리에 여러 복합적인 신경증세를 일으키는 질환입니다. 요추 부위에 발생하는 요추관 협착증과 경추 부위에 발생하는 경추관 협착증이 있습니다.


원인과 증상
● 선천적인 원인과 노화로 인하여 척추의 퇴행성적인 원인이 있으며 척추관을 구성하는 후관절 돌기, 추궁, 황색인대 등 변성이 생기면서 두꺼워져 척추관 전후, 좌우 등 좁아지며 척추가 전방 또는 후방으로 휘어져 척수와 신경근을 누르며, 혈류장애를 일르켜 증상이 나타납니다.
● 운동량이 많은 요추와 경추에서 잘 발생되고, 흉추에서는 드물게 나타나기도 합니다.
● 요추관 협착증은 통증이 빈번하게 나타나고 다리의 감각장애와 근력저하가 동반되며, 협착이 정도가 심해질수록 감각소실, 저린감 같은 감각이상 증상이 있으며 괄약근 장애는 가장 늦게 나타납니다.
● 경추관 협착증은 신경조직의 손상정도에 따라 목 통증, 어깨 및 양팔의 통증, 양찰 운동 및 감각 이상소견 등 있으며, 증상이 악화와 완화가 반복되며 외상을 받으면 급속히 악화가 진행됩니다.
다리의 운동부전 마비에 의하여 보행장애, 배뇨장애 등 증상이 나타납니다.


진단 및 치료
● 진단
요추관협착증 진단하기 위해서는 문진과 보행시 얼마나 걸으면 아픈지 파악하여 일상생활의 불편감이나 통증의 특징을 알아보고 근전도검사와 CT 및 MRI를 촬영하여 통하여 진단합니다.

● 치료
보존적인 치료는 약물치료, 물리치료를 시행하고 증상이 지속적으로 나타나는 경우에는 수술적치료인 후궁절체술 및 후궁성형술을 시행하여야 합니다.


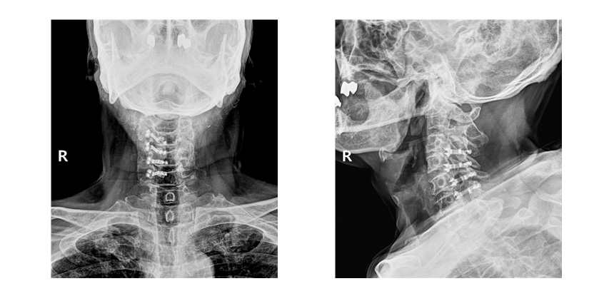
후궁성형술을 시행한 사진